发布时间:2022-12-14 来源:
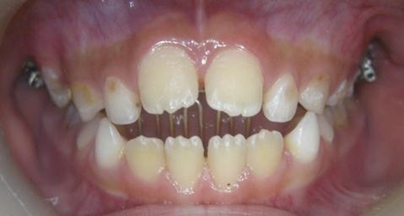
替牙期儿童常会用舌尖舔松动的乳牙、乳牙残根或初萌的恒牙,如果长期持续存在这种动作,就可能会成为不良的舌习惯,这些习惯包括吐舌、伸舌和舔牙等。患有慢性扁桃体炎、慢性咽喉炎等疾病的儿童,为了保持呼吸道通畅,常将舌体伸向前方,从而也容易引发不良伸舌习惯。
患儿存在伸舌习惯时,经常将舌尖放在上下前牙之间,会形成前牙梭形的开合间隙,有时舌体向前伸,使下颌向前移位,造成下颌前突畸形。 舌舔下前牙会使下前牙唇倾,出现牙间隙,甚至形成反合。如果舌同时舔上下前牙则形成双牙弓或双颌前突。


防治方法:
1.教育儿童改正不良舌习惯。
2.对有扁桃体过大、慢性扁桃体炎、佝偻病等的继发性患者,应治疗其疾病后再作正畸治疗。
3.使用破除不良习惯矫正器。必要时可做腭刺、腭网或腭屏来破除不良舌习惯。


(滨湖门诊部 古月)